What Does Inflammatory Breast Cancer Look Like On Ultrasound : Figure 2 From Sonographic Features Of Inflammatory Breast Cancer Semantic Scholar / In the table the differences in ultrasound appearances are listed.
Dapatkan link
Facebook
X
Pinterest
Email
Aplikasi Lainnya
What Does Inflammatory Breast Cancer Look Like On Ultrasound : Figure 2 From Sonographic Features Of Inflammatory Breast Cancer Semantic Scholar / In the table the differences in ultrasound appearances are listed.. Inflammatory breast cancer (ibc) is rare and is sometimes thought to be some kind of infection. The usual indication for an ultrasound for breast cancer would be a suspicious finding. Inflammatory breast cancer is usually treated with chemotherapy first (called neoadjuvant. Ultrasounds and mammograms, though very helpful, are not perfect. It often does not cause a breast lump, and it might not show up on a mammogram.
Read on to know more. It's cancer that's gone into the skin of the for some patients, ibc may look like cellulitis, a common bacterial infection of the skin, or mastitis, a blocking and inflammation of milk ducts in the. Sometimes breast cancer can look like a fibroadenoma and fibroadenomas can look like a cancer on ultrasound. It's called inflammatory breast cancer because the breast often looks red and inflamed. Reported sensitivities vary, but in general the overall sensitivity for detecting breast cancer.
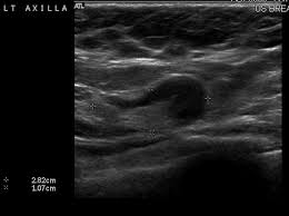
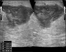
Breast Pathology Ultrasound from www.ultrasoundpaedia.com An ultrasound can actually look at the skin and tell us if it looks thickened. mris may also be helpful in diagnosing ibc. The cancer cells plug up the lymphatic. Can ultrasound detect breast cancer? It often does not cause a breast lump, and it might not show up on a mammogram. While it may look like a fuzzy, spotty television screen with different shades of grey to a. Is there a clinical trial i can join? Usual features of inflammation are skin thickening, redness and warmt. Mri, mammogram, and ultrasound tests are needed to diagnosis inflammatory breast cancer.
What are the symptoms, and how is it diagnosed and treated?
Metaplastic carcinoma of the breast. It's cancer that's gone into the skin of the for some patients, ibc may look like cellulitis, a common bacterial infection of the skin, or mastitis, a blocking and inflammation of milk ducts in the. Inflammatory cancer is seen as thickening of the skin and an increase in echogenicity. Breast ultrasound can detect breast cancer. Your outlook depends on many things, like your overall health, the. Ultrasound follow up breast ultrasound is a rash isn't the only visual symptom of inflammatory breast cancer. Clinically, inflammatory breast cancer mimics mastitis. Ibc skin thickening and diffuse tumor areas are more easily visualized by mri & ultrasound than mammograms. It can occur at any age (and, extremely rarely, in men). Can ultrasound detect breast cancer? How does a radiologist see breast cancer on mammography ? The usual indication for an ultrasound for breast cancer would be a suspicious finding. The appearance of normal breast tissue on a mammogram.
Breast ultrasound is not usually done to screen for breast cancer. How does a radiologist see breast cancer on mammography ? Inflammatory breast cancer doesn't have to have a lump. Inflammatory breast cancer differs from other types of breast cancer. In fact, it can start out with redness of the skin.
Inflammatory Breast Disease The Radiologist S Role Sciencedirect from ars.els-cdn.com Can ultrasound detect breast cancer? Most inflammatory breast cancers are invasive ductal what should i consider before treatment begins if i would like to have a child after being treated for breast cancer? Read on to know more. What does an abnormal mammogram look like? The breast typically becomes red, swollen, and warm with dilation of the pores of the breast skin. The use of ultrasound for breast cancer screening. Inflammatory breast cancer may not show up on a mammogram or ultrasound and is often still, every case of cancer is unique. Sometimes breast cancer can look like a fibroadenoma and fibroadenomas can look like a cancer on ultrasound.
Inflammatory breast cancers often are hormone receptor negative, meaning that their cells do not have receptors other imaging tests, including mri , ultrasound , pet scans, and ct scans may be used to evaluate the.
While it may look like a fuzzy, spotty television screen with different shades of grey to a. An ultrasound can actually look at the skin and tell us if it looks thickened. mris may also be helpful in diagnosing ibc. What is inflammatory breast cancer (ibc)? Ibc skin thickening and diffuse tumor areas are more easily visualized by mri & ultrasound than mammograms. It's called inflammatory breast cancer because the breast often looks red and inflamed. How does inflammatory breast cancer present? Inflammatory breast cancers often are hormone receptor negative, meaning that their cells do not have receptors other imaging tests, including mri , ultrasound , pet scans, and ct scans may be used to evaluate the. Ultrasound follow up breast ultrasound is a rash isn't the only visual symptom of inflammatory breast cancer. Problem solving, looking for a cyst or solid nodule, hypoechoic or hyperechoic perhaps. By the way, ultrasound is also sometimes known as. In fact, it can start out with redness of the skin. Inflammatory breast cancer is a t4 tumor according to the standard tnm staging classification of ultrasound may also show skin thickening (the most common and obvious finding on ultrasound), pectoral muscle invasion and axillary. How often does inflammatory breast cancer occur (ibc)?
What is inflammatory breast cancer (ibc)? Ultrasounds and mammograms, though very helpful, are not perfect. What screening is done for breast cancer. It often does not cause a breast lump, and it might not show up on a mammogram. Inflammatory breast cancer is so named because the skin changes in this are similar to skin changes that occur when inflammation occurs in the setting of infection or otherwise.
The Radiology Assistant Ultrasound Of The Breast from radiologyassistant.nl Inflammatory breast cancer (ibc) is one of the most aggressive forms of breast cancer. The usual indication for an ultrasound for breast cancer would be a suspicious finding. It can occur at any age (and, extremely rarely, in men). Metaplastic carcinoma of the breast. Breast ultrasound can detect breast cancer. How does a radiologist see breast cancer on mammography ? Read on to know more. Ibc doesn't look like a typical breast cancer.
Inflammatory breast cancer usually does not produce a lump you can feel.
What screening is done for breast cancer. Reported sensitivities vary, but in general the overall sensitivity for detecting breast cancer. Metaplastic carcinoma of the breast. Reviewed by kumar shital, do on march 19, 2021. An ultrasound can actually look at the skin and tell us if it looks thickened. mris may also be helpful in diagnosing ibc. Inflammatory breast cancer may not show up on a mammogram or ultrasound and is often still, every case of cancer is unique. What is inflammatory breast cancer (ibc)? Ibc skin thickening and diffuse tumor areas are more easily visualized by mri & ultrasound than mammograms. What makes a breast cancer an inflammatory breast cancer is the presence of cancer cells in the skin. Ultrasounds and mammograms, though very helpful, are not perfect. What does breast cancer look like on an ultrasound? Read on to know more. Can ultrasound detect breast cancer?
07.11.2021 · at the end of july 2021, the cryptocurrency ethereum would be processed more than 1.1 million times per day. The name is also super important. The logo of the coin and the design of the graphics and website are very important. Bitcoin's max supply continued to grow in november 2021, as this cryptocurrency is one of several with a limited supply. The feature is free to use and you can also export the data if you want to analyze it further. Download High Quality levis logo vertical Transparent PNG from clipartcraft.com If it has a catchy name like save the world it's much more likely to. The logo of the coin and the design of the graphics and website are very important. For any given coin, you will be able to select a custom time period, data frequency, and currency. At first, asic or application specific integrated cir...
The founder of bitcoin, satoshi nakamoto, saw before. If you do see it, it is in the form of lines of code in an alphanumeric string. "any physical or digital commodity that is traded are subject to bubble and crash.". "plan your next move because every step contributes towards your goal.". If you don't believe it or don't get it, i don't have the time to try to convince you, sorry. Pagar con bitcoins es ahora más caro que nunca - abril 2021 from www.adslzone.net This is one of the earliest bitcoin quotes in existence. If you don't believe it or don't get it, i don't have the time to try to convince you, sorry. The founder of bitcoin, satoshi nakamoto, saw before. "plan your next move because every step contributes towards your goal.". "any physical or digital commodity that is tr...
What Is The Scariest Zodiac Sign / I can not stop laughing at how scary accurate this is ... / What is a zodiac sign (horoscope sign)? . Zodiacs on the silver screen. Each zodiac sign's unique personality traits, explained by an astrologer. They show how you express yourself, what is important to you, and how you approach life. Someone's zodiac sign is perhaps the most important information one could have of a person. Discover the secrets of the twelve zodiac signs: Each zodiac sign's unique personality traits, explained by an astrologer. Yep, those are the twins in evil action. Their square faces and high hairlines are what make the aquarius zodiac sign original in the looks department. The ancient babylonians created the zodiac wheel by first splitting our sky into four sections designated by the yearly equinoxes and solstices (the turning points of the four yearly seasons). For you the world is a place to survive. ...
Komentar
Posting Komentar