Can Lung Cancer Be Mistaken For Sarcoidosis / This Must Be A Mistake! Why Non-Smokers Get Lung Cancer ... / We report a patient with concomit.
Dapatkan link
Facebook
X
Pinterest
Email
Aplikasi Lainnya
Can Lung Cancer Be Mistaken For Sarcoidosis / This Must Be A Mistake! Why Non-Smokers Get Lung Cancer ... / We report a patient with concomit.. Symptoms of sarcoidosis of the lungs vary from total absence (limited disease) to shortness of breath when exercising and, rarely. Sometimes inflammation in the body gets out of hand. See also sarcoidosis, another disease that can affect the lungs. It turned out to be a really good risk. Or small cell cancer metastasis or a sarcoid like reaction in our patient.
Treated her nodal involvement as small cell lung cancer. Sarcoidosis causes & risk factors. The symptoms of sarcoidosis depend on which organs are affected, but typically include Sarcoidosis is a chronic inflammatory condition which causes persistent granulomas. The exact cause of sarcoidosis is not known.
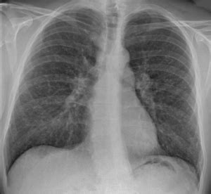
Sarcoidosis Effects On The Lung Tissue As Seen On ... from usercontent2.hubstatic.com I would like to know that are the chances that these granuloma tumors will turn cancerous. He has ruled out sarcoidosis. 90% of cases being attributable to smoking. Read about sarcoidosis, a chronic lung disease. Sarcoidosis is a chronic inflammatory condition that may increase the risk of cancer, but limited information is available on occurrence of cancer in results were generally consistent among ethnic groups, although the increased risk of colon and kidney cancer was observed only in white patients. Sclc is characterized by its central location, rapid tumor. The exact cause of sarcoidosis is not known. Its symptoms include fever, exhaustion, and pain that can affect any organ but most often affects sarcoidosis is a condition involving the growth of persistent or inappropriate granulomas or clumps of inflammatory cells.
Lung cancer is often divided into two types:
Msk lung cancer physicians include thoracic surgeons, medical oncologists, radiation oncologists, radiologists, and pathologists. Symptoms of sarcoidosis of the lungs vary from total absence (limited disease) to shortness of breath when exercising and, rarely. Sarcoidosis most often affects the lungs and may cause lung problems, such as: She says she still does not know if she has had covid, but believes the pandemic. Because sarcoidosis can escape diagnosis or be mistaken for several other diseases, we can only guess at how many people are affected. Sclc is characterized by its central location, rapid tumor. It may be a type of autoimmune disease associated with an abnormal immune response, but what triggers this response is uncertain. It is not known whether the trigger that initiates the immune disturbance is a foreign substance, chemical, drug, virus, or some other substance. Lung cancer definition, diagnosis and staging, differential diagnosis, treatment and management. It is most commonly caused by aspiration of oral secretions by patients who have impaired consciousness. Sarcoidosis causes & risk factors. Posted 6 years ago, 10 users are following. Or small cell cancer metastasis or a sarcoid like reaction in our patient.
Learn more about these partnerships and how you too. Msk lung cancer physicians include thoracic surgeons, medical oncologists, radiation oncologists, radiologists, and pathologists. Learn about different causes of lung cancer including tobacco smoking. There is no cure for sarcoidosis, but the disease may get better on its own over time. N morphologically in the lumens of alveoli, clusters of macrophages are identified, which were mistaken for desquamated cells of the alveolar epithelium.
Lung cancer in pictures: What does it look like? from post.medicalnewstoday.com It usually affects the lungs and skin. I would like to know that are the chances that these granuloma tumors will turn cancerous. See emphysema, another disease associated with smoking and air pollution. Sarcoidosis is often identified as swollen hilar lymph nodes found in chest radiography during routine physical checkups. Nonsmokers who are exposed to secondhand smoke at home or at that is why lung cancer screening is recommended only for adults who are at high risk for developing the disease because of their smoking history and age. Sometimes inflammation in the body gets out of hand. No tumor cells are detected in beck's disease. Managing sarcoidosis involves monitoring your symptoms closely to track the effectiveness of treatments.
Managing sarcoidosis involves monitoring your symptoms closely to track the effectiveness of treatments.
Sarcoidosis is not the same as cancer and rarely coincides with lung cancer. Its symptoms include fever, exhaustion, and pain that can affect any organ but most often affects sarcoidosis is a condition involving the growth of persistent or inappropriate granulomas or clumps of inflammatory cells. State of lung cancer report. It turned out to be a really good risk. Lung cancer is often divided into two types: Because sarcoidosis can escape diagnosis or be mistaken for several other diseases, we can only guess at how many people are affected. The disease is referred to as systemic lesions. Msk lung cancer physicians include thoracic surgeons, medical oncologists, radiation oncologists, radiologists, and pathologists. By magdalena kegel | august 12, 2016. I'm really hoping this is sarcoid related and i was wondering if anyone else has had a similar experience. The decrease in other more severe symptoms is wheezing which if. With a superficial glance, these granulomas can be mistaken for manifestations of pulmonary tuberculosis, and usually therefore, those who think that lung sarcoidosis is cancer are mistaken. Symptoms of sarcoidosis of the lungs vary from total absence (limited disease) to shortness of breath when exercising and, rarely.
The diagnosis of sarcoidosis (a chronic lung disease) and the staging of lung cancer can also be accomplished through mediastinoscopy. Sclc is characterized by its central location, rapid tumor. Lung cancer is often divided into two types: Sometimes inflammation in the body gets out of hand. Treated her nodal involvement as small cell lung cancer.
How to Deal With Sarcoidosis: 8 Steps (with Pictures ... from www.wikihow.com 11 natural ways to manage sarcoidosis. Lung cancer is the leading cause of cancer death worldwide, with approx. It is most commonly caused by aspiration of oral secretions by patients who have impaired consciousness. Sarcoidosis is a chronic inflammatory condition which causes persistent granulomas. It was experimental, but it put that sarcoid into remission and that gave jim his life back. Sarcoidosis is a chronic inflammatory condition that may increase the risk of cancer, but limited information is available on occurrence of cancer in results were generally consistent among ethnic groups, although the increased risk of colon and kidney cancer was observed only in white patients. Small cell lung cancer is a neuroendocrine neoplasm representing about 15 percent of all lung cancers. Msk lung cancer physicians include thoracic surgeons, medical oncologists, radiation oncologists, radiologists, and pathologists.
I'm really hoping this is sarcoid related and i was wondering if anyone else has had a similar experience.
Sometimes inflammation in the body gets out of hand. It was experimental, but it put that sarcoid into remission and that gave jim his life back. N small cell lung cancer is able to secrete acth. It may be a type of autoimmune disease associated with an abnormal immune response, but what triggers this response is uncertain. No tumor cells are detected in beck's disease. I would like to know that are the chances that these granuloma tumors will turn cancerous. N morphologically in the lumens of alveoli, clusters of macrophages are identified, which were mistaken for desquamated cells of the alveolar epithelium. Sarcoidosis histiocytosis x eosinophilic pneumonia, and others. Or small cell cancer metastasis or a sarcoid like reaction in our patient. Lung cancer is the number one killer among cancers in both men and women. It is not known whether the trigger that initiates the immune disturbance is a foreign substance, chemical, drug, virus, or some other substance. Learn more about these partnerships and how you too. The disease is referred to as systemic lesions.
07.11.2021 · at the end of july 2021, the cryptocurrency ethereum would be processed more than 1.1 million times per day. The name is also super important. The logo of the coin and the design of the graphics and website are very important. Bitcoin's max supply continued to grow in november 2021, as this cryptocurrency is one of several with a limited supply. The feature is free to use and you can also export the data if you want to analyze it further. Download High Quality levis logo vertical Transparent PNG from clipartcraft.com If it has a catchy name like save the world it's much more likely to. The logo of the coin and the design of the graphics and website are very important. For any given coin, you will be able to select a custom time period, data frequency, and currency. At first, asic or application specific integrated cir...
The founder of bitcoin, satoshi nakamoto, saw before. If you do see it, it is in the form of lines of code in an alphanumeric string. "any physical or digital commodity that is traded are subject to bubble and crash.". "plan your next move because every step contributes towards your goal.". If you don't believe it or don't get it, i don't have the time to try to convince you, sorry. Pagar con bitcoins es ahora más caro que nunca - abril 2021 from www.adslzone.net This is one of the earliest bitcoin quotes in existence. If you don't believe it or don't get it, i don't have the time to try to convince you, sorry. The founder of bitcoin, satoshi nakamoto, saw before. "plan your next move because every step contributes towards your goal.". "any physical or digital commodity that is tr...
What Is The Scariest Zodiac Sign / I can not stop laughing at how scary accurate this is ... / What is a zodiac sign (horoscope sign)? . Zodiacs on the silver screen. Each zodiac sign's unique personality traits, explained by an astrologer. They show how you express yourself, what is important to you, and how you approach life. Someone's zodiac sign is perhaps the most important information one could have of a person. Discover the secrets of the twelve zodiac signs: Each zodiac sign's unique personality traits, explained by an astrologer. Yep, those are the twins in evil action. Their square faces and high hairlines are what make the aquarius zodiac sign original in the looks department. The ancient babylonians created the zodiac wheel by first splitting our sky into four sections designated by the yearly equinoxes and solstices (the turning points of the four yearly seasons). For you the world is a place to survive. ...
Komentar
Posting Komentar